铜铬合金大塑性变形及组织性能研究
谢文博 徐嘉懿 谢自立 许浩然 苗青
上海 上海电机学院 材料学院
概述
铜铬合金以铜为基体,融入铬和其他微量合金元素,具有优良的导电、导热性能和真空开断与耐压能力,广泛用于制作真空开关触头和架空导线等[1]。铜铬合金的传统制备方法有粉末烧结法、电弧熔炼法和定向凝固法等[2],其不足之处在于设备昂贵、成本过高、工艺过程较难控制。大塑性变形法在成型过程中施加极端塑性变形,能够显著细化晶粒,提高材料综合性能,比如等径角挤压、往复挤压和高压扭转等方法,但其缺点在于所需模具的形状复杂,难于大批量生产[3]。
本研究通过挤压和连续挤压进行大塑性变形制备铜铬合金杆材,研究铬元素含量和变形量对合金显微组织、力学性能和导电性能的影响。
一、实验材料及方法
以铬含量 28% 、 39% 、 47% (±1%) )的真空熔铸铜铬合金为材料,运用4500N 卧式油压机进行热挤压,初始尺寸Ø20mm×L30mm,合金 850∘C ,模具 300℃,模口Ø13mm,试样标记为 EØ13。运用 MFCCE-300 连续挤压机挤压,实验前先挤压普通纯铜杆预热挤压模,合金在600℃保温1 小时,模口Ø8mm,试样标记为CEØ8。
运用 Zeiss 显微镜拍摄金相照片,以 GB/T 231.1-2009 为标准运用 HB3000 硬度计测试布氏硬度。运用 HZ252微欧表测量电阻,根据标准退火铜的电阻率(1.72 {1×108} Ω m)计算以%IACS 为单位的电导率。
二、显微组织
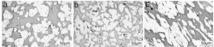
从CEØ8 杆材的端面和垂直面取样,观察垂直挤压方向和平行挤压方向的显微组织。整体而言,较初始铸态组织而言,3 种铬含量 (28% , 39% ,47%)铜铬合金变形后的显微组织都得到了明显细化。初始铬含量越高,铜铬合金的晶粒越粗大,以铬47%为例,观察铸态及变形后的微观组织(图1)。

a铸态材料 b垂直于压方向 c平行挤压方向
图1 47%CEØ8 合金变形前后的微观组织
47%铬含量铸态合金的铸造晶粒较为粗大,其中,铬相(白色部分)呈颗粒状分布在铜基体之中,铜铬两相的界面多(图1a)。观察垂直挤压方向的试样端面(图 1 b)可见,挤压变形后,合金中的显微组织得到了显著细化;较铸态显微组织而言,试样端面中铬相的密度明显增加,而且大部分铬相聚集在一起,这是由于连续挤压变形过程中,铸态合金的中的铜相和铬相在垂直挤压方向上承受压应力,杆材从初始20mm 压缩到 8mm,累积变形量达84%,材料截面面积骤减,所以试样端面中铬相的密度明显增加。观察平行挤压方向的显微组织(图1c)可见,在挤压方向上,铬相沿挤压方向被明显拉长,而且大量被拉长的铬相又相互接触并连接在一起,形成长链式结构。整体而言,3 种铬含量CEØ8 杆材中的铬相分布都比较均匀,这说明挤压变形结合连续挤压是一种能够有效细化铜铬合金晶粒尺寸并获得良好组织均匀性的连续型大塑性变形方法。
三、性能测试
对比研究变形前后铜铬合金杆材的布氏硬度和电导率,如图2 所示。28%、39%和47%铬含量铸态铜铬合金的硬度分别为101、110 和121,挤压变形后铜铬合金杆材的布氏硬度分别为129、147 和153(图2a),这说明热挤压变形后铜铬合金材料的硬度均有一定的提高,提高量依次为 27.7% 、33.6%和 26.4% ,这是由于热挤压变形后铬在铜基体中垂直挤压方向上的密度明显增加,在平行于挤压方向上呈相对均匀的纤维状分布。此外,铬含量越高,挤压前后材料的硬度也越高,其中,47%铬含量挤压杆材的硬度最高,这是因为经热挤压后,铜基体晶粒得到细化,细晶强化也是材料硬度提高的原因之一,由此可知,显著影响铜铬合金硬度的因素有铬含量的多少、铬相的形态和分布以及合金晶粒的大小。

a 硬度 b 电导率
图2 铜铬材料挤压前后的硬度和电导率
28% 、39%和47%铬含量铸态铜铬合金的电导率分别为 43.5、33.7 和 27.3,热挤压后铜铬合金的电导率为57.4、45.6 和 37.2 ,由图2b 可知,热挤压后材料的电导率都有了一定提高,铬含量从低到高,材料的电导率提高量依次为 31.9% 、35.3%和 36.2% ,这是因为,随着截面面积剧减,铬相的密度增加,并产生了一定的聚集,使得界面减少,界面的散射电阻率降低,及挤压后材料的电导率提高;并且挤压变形后,铬相沿挤压方向被拉长,使得铜基体的连续性增强,使得挤压铜铬杆材的导电性能进一步得到提升。
四、结论
(1)经过挤压和连续挤压累积84%大变形量塑性变形后,铜铬合金晶粒得到明显细化,垂直挤压方向上铬相密度增加并局部聚集,挤压方向上铬相被拉长并形成较均匀的长链结构,表明挤压结合连续挤压是有效细化铜铬合金显微组织的连续性大塑性变形方法。
(2)较铸态组织而言, 28% 、 39% 和47%铬含量铜铬合金变形后的硬度提高了 27.7% 、 33.6% 和 26.4% ,显著影响铜铬合金硬度的因素有铬含量的多少、铬相的形态和分布以及铜铬合金的晶粒尺寸。
(3) 28% 、39%和47%铬含量铸态铜铬合金热挤压变形,电导率依次提高了 31.9% 、 35.3% 和 36.2% 。变形后铬相密度增加并发生聚集,同时铬相沿挤压方向被拉长,使得铜基体的连续性增强,使得挤压铜铬杆材的导电性得到提升。
参考文献
[1] 李周,肖柱,唐建成,等. Cu-Cr 合金的制备及组织性能研究进展[J]. 材料导报,2019, 33(11): 1871-1878.
[2] 谢文博,李柏毅,朱成奇,等. Cu-Cr 合金成型工艺综述[J],向导·学术研究,2024(20)59.
[3] 梁明,焦高峰,徐晓燕,等.高强度高电导铜银材料的研究进展[J]. 稀有金属材料与工程,2016,45(1):248-253.
本文章受到 2024 年电机学院大学生创新创业项目“Cu-Cr 合金触头材料大塑性变形及组织性能研究”资助。
第一作者:谢文博 电机学院 材料成型及控制工程专业 大二学生
通讯作者:苗青 电机学院 副教授研究方向为微纳米晶大塑性成型及组织性能研究